
3D-gedruckter Schädel, in dem Gehirn und Arterien sichtbar sind. Der Schädel dient zum Training von Kraniotomien und wurde von TrabTech entwickelt (https://trabtech.co).
In den vergangenen Jahren haben Fortschritte in der intravaskulären Technologie dazu beigetragen, die Notwendigkeit von Operationen zur Behandlung von Hirnaneurysmen zu reduzieren. Heute werden bei der Mehrheit der weniger komplexen Hirnaneurysmen minimal-invasive intravaskuläre Techniken eingesetzt. In komplexeren und schwerwiegenderen Fällen, bei denen ein intrakranialer Eingriff unumgänglich ist, hat sich der 3D-Druck als Hilfsmittel für die intraoperative Navigation und Planung etabliert, um Risiken zu mindern und die Operationsergebnisse zu verbessern. Einer der führenden Chirurgen auf dem Gebiet, Dr. Sahin Hanalioglu von der Abteilung für Neurochirurgie an der Hacattepe-Universität, war ein Vorreiter bei der Verwendung 3D-gedruckter Modelle zur Erreichung besserer Operationsergebnisse. Ihm zur Unterstützung stand Prof. Dr. İlkan Tatar vom Fachbereich für Anatomie der Hacettepe-Universität. TrabTechs Team für F&E und Anwendungsentwicklung für fortschrittliche medizinische Technologien verfügt über umfassende Fachkenntnis im Bereich anatomische 3D-Modellierung, Planung und vor allem 3D-Druck. Deshalb wurde es in Kooperation mit dem chirurgischen Team in die Prozesse des 3D-Modellierens und 3D-Druckens anatomischer Modelle zahlreicher Patient*innen mit großen Hirnaneurysmen einbezogen.
Problem: Der Patient im unten dargestellten Fall hat ein Hirnaneurysma von erheblicher Größe. Ein Aneurysma ist eine vaskuläre Fehlbildung – eine Ausbuchtung eines Blutgefäßes, die durch eine Schwäche der Gefäßwand verursacht wird. Wenn ein Aneurysma eines Hirngefäßes reißt, kann dies zu einer Hirnblutung führen. Eine Thrombose an einem Aneurysma (ein Blutgerinnsel, das Venen oder Arterien blockiert) kann zudem eine Embolie verursachen.
Lösung: Das Aneurysma muss aus dem normalen Hirnkreislauf ausgeschlossen werden. Normalerweise befinden sich Aneurysmen tief im Gehirn. Um sie zu erreichen, sind deshalb mikrochirurgische Techniken erforderlich, mit denen die Furchen und natürlichen Korridore im Gehirn vorsichtig geöffnet werden und das Aneurysma umfänglich freigelegt wird. Schließlich wird das Aneurysma mithilfe von Gefäßclips vom Blutkreislauf abgeschnitten und die Wunde geschlossen. Dieser Vorgehensweise nennt sich Clipping.
Konventionelle Methode im Vergleich zu 3D-Druck: Traditionell nutzen Neurochirurg*innen CT- oder MRT-Scans sowie ihre eigenen Anatomiekenntnisse, um sich die Pathologie dreidimensional zu verbildlichen. Dank 3D-Drucktechnologien und 3D-Simulation können sie die Anatomie heute mit Leichtigkeit sowohl bildlich (durch ein 3D-VR-Headset) als auch an einem 3D-gedruckten Modell einsehen.
Die Technologie der visuellen 3D-Simulation hat in den letzten Jahren beeindruckende Fortschritte verzeichnet. Für viele Operationsteams haben jedoch physisch greifbare Modelle und die Möglichkeit, Eingriffe an einem maßgefertigten Modell üben zu können, einen noch größeren positiven Einfluss auf die Operationsergebnisse. Die mehrschichtigen, segmentierten und vollständig integrierten Modelle von TrabTech können bei Kraniotomien eine Hilfe bieten. Hierbei müssen die Operierenden nämlich in den Schädel bohren und zur Zugangsbildung einen Teil davon ausschneiden – ein Vorgang, der sich Fenestrierung nennt –, ohne dabei das darunterliegende Gewebe zu verletzen.
Das individuelle Modell erlaubt es dem OP-Team nicht nur, die Anatomie zu visualisieren, sondern auch den Eingriff zu simulieren. So erhalten Chirurg*innen die Chance, den operativen Eingriff im Vorhinein zu üben und verschiedene Herangehensweisen an die Behandlung der Pathologie zu testen. Dadurch können sie die Vor- und Nachteile bestimmter Operationstechniken überblicken und Hindernisse erkennen.

Das Team verwendete die Druckvorbereitungssoftware PreForm, um die Teile auszurichten und zu drucken.
Ein wichtiger Vorteil von 3D-gedruckten Modellen ist, dass ihre Verwendung das Selbstvertrauen von Behandlungsteams vor einer komplexen OP stärken kann. „So erwarten einen keine Überraschungen während der OP, weil man vor dem Eingriff alles proben kann. Das ist sowohl in meiner eigenen Praxis als auch für viele andere Chirurgen, die ich kenne, ein zentraler Vorteil“, so Hanalioglu.
Weitere Vorteile des 3D-Drucks: 3D-gedruckte Modelle sind auch für die Ausbildung von Studierenden und Assistenzärzt*innen sowie für die Aufklärung von Behandelten wichtig. Es gibt verschiedene radiologische Methoden, um detaillierte Modelle zu erstellen – etwa MRT-Angiographie und MR-Venographie durch dreidimensionale Volumentomographie. Jede dieser Methoden kann jedoch nur ein oder zwei bestimmte innere Gewebestrukturen des Gehirns visualisieren, beispielsweise diencephale oder ventrikuläre Strukturen. Besteht allerdings zusätzlich eine Pathologie, zum Beispiel ein Tumor, verändert sich die Anatomie der Hirnstrukturen oder sie verschieben sich. „Deshalb müssen wir die neue Form des normalen Gewebes abhängig von der Art der Pathologie revisualisieren und rekonstruieren. Bei diesen Modellen handelt es sich um individuelle, vollkommen personalisierte Modelle, die ganz von den Krankheiten und Pathologien des Patienten abhängen“, erklärt Hanalioglu.
„Bei komplexen Operationen hat manchmal nur der Chefchirurg ein vollständiges Bild davon, wo bei einem Patienten die Probleme liegen. Mit den 3D-gedruckten Modellen kommt nun jeder, selbst die Assistenzärzte, mit der vollen Kenntnis in den OP. Das erleichtert die intraoperative Navigation“, berichtet er.
„Diese 3D-gedruckten Modelle helfen uns, eine Operation mit Assistenzärzten, Studierenden und anderen Kollegen einzuüben. Wenn man ein 3D-gedrucktes Modell zur Verfügung hat, ist das ein wertvolles Hilfsmittel bei der Ausbildung von Medizinstudenten, Assistenzärzten oder jungen Neurochirurgen, um einen Eingriff zu besprechen“, so Hanalioglu.


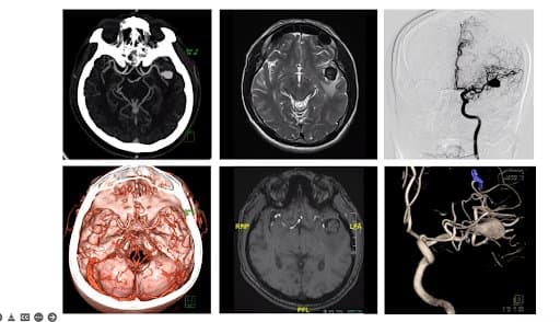
Rechts werden unterschiedliche Seiten derselben Realität, nämlich einer dreidimensionalen Pathologie, durch verschiedene Methoden dargestellt. Sobald das 3D-gedruckte Modell fertig ist, sind jedoch all diese verschiedenen Informationen in einem Stück vereint. Links ist ein laufender operativer Eingriff zu sehen.
Wie man 3D-Modelle erstellt: TraBTech verwendete zur Modellsegmentation die Software Materialise (Mimics). Mithilfe dieser Software importieren Biomedizin-Ingenieur*innen sämtliche DICOM-Dateien, die durch die verschiedenen Methoden gewonnen wurden. Den Vorgang der Segmentation, Modellierung und Simulation erledigt die Software. Schließlich wird die endgültige Datei im STL- oder OBJ-Format exportiert. Manchmal werden auch Chirurg*innen in den Prozess einbezogen, um bei der Definition der Pathologie und der Feinjustierung der endgültigen digitalen Datei für den Druck behilflich zu sein. Beispielsweise könnte ein Chirurg aufgrund seiner Fachkenntnis dabei helfen, durch die Überprüfung sämtlicher Modelle Interferenzen zwischen zwei Gefäßen zu erkennen. Trotz der hohen Auflösung der Bildgebungstechniken ist eine zweite Meinung bei derart komplexen System unschätzbar wertvoll.
Patientenperspektive: Ein 55-jähriger Patient mit verdächtigen Krampfanfällen wurde untersucht, indem zunächst mittels CT- und MRT-Scans eine Aufnahme des Gehirns erstellt wurde. Die Hirnscans zeigten eine 1,5 cm große Masse in der Sylvischen Fissur zwischen dem Frontal- und Temporallappen des Gehirns. Die erste Annahme war, dass es sich um einen riesigen Tumor oder möglicherweise ein Aneurysma handelte. Weitere Scans bestätigten, dass in diesem Fall ein großes Aneurysma (über 2 cm) mit Thrombose vorlag. Tritt in einem Aneurysma ein Thrombus auf, können kleine, dicke Blutgerinnsel in die distalen Arterien wandern und diese blockieren. Diese Blockaden stoppen die Blutversorgung wichtiger Bereiche des Gehirns, was zu einem Schlaganfall führt.
Die Option eines chirurgischen Eingriffs wurde vorgeschlagen, nachdem das Ärzteteam bereits die digitalen Modelle fortschrittlicher Bildgebungstechnologien wie CT, MR, MR-Angiographie und digitale Subtraktionsangiographie mit 3D-Rotation ausgewertet hatte, auf deren Grundlage die Operationsplanung mit dem Patienten besprochen wurde. In akuten Fällen wie diesem, wo eine OP dringend erforderlich ist, kann ein 3D-Modell bei der Verbildlichung und Einübung eines Eingriffs helfen und zudem zu einem besseren Verständnis des Eingriffs seitens der Behandelten beitragen.
Wie in der digitalen Simulation zu sehen ist, lassen sich Farbe, Winkel und Position der digitalen Modelle anpassen und die letztendliche Operation kann simuliert werden. Die Abbildung zeigt das komplexe Verhältnis der zentralen Prismen mit den darunterliegenden Blutgefäßen. Das Modell liefert Operationsteams die Möglichkeit, bereits vor der OP die Beziehung der wichtigsten Verzweigungen unter dem Gehirn und das simulierte Clipping anzusehen. Indem schon bei der OP-Vorbereitung visuelle Informationen zur Verfügung stehen, wird die Effizienz von Eingriffen gesteigert.
Herausforderungen und Erwägungen: Ein Nachteil der Nutzung von 3D-Druck ist die Zeit, die das Erstellen der Teile beansprucht. Wie Hanalioglu berichtet, benötigt er zur vollständigen Vorbereitung und zum Druck seiner Modelle mehr als nur ein oder zwei Tage. Daher können für dringende Fälle womöglich keine 3D-Modelle erstellt werden.
Außerdem müssen die Behandlungsteams dafür sorgen, dass die richtige Ausrüstung bereitsteht, nämlich ein hochauflösender Scanner und ein hochwertiger 3D-Drucker.
Laut Hanalioglu sind folgende drei Kriterien am wichtigsten bei der Auswahl eines 3D-Druckers:
- Die Option, sowohl harte als auch weiche Materialien zu drucken. Seine Modelle umfassen nämlich sowohl Schädel als auch Arterien.
- Die Auflösung der Druckteile ist wichtig, um einen Eingriff so genau wie möglich simulieren zu können.
- Die Kosten pro Teil müssen verhältnismäßig sein.
3D-Druck, Leichname und Operationsplanung: Die meisten Ärzt*innen setzen 3D-gedruckte Modelle als unterstützendes Hilfsmittel ein, nicht jedoch als Ersatz für Leichname. Allerdings geht Letzteres mit Einschränkungen einher – deshalb stützen sich medizinische Einrichtungen mehr und mehr auf 3D-gedruckte Modelle, um Wissenslücken zu erschwinglichen Kosten zu schließen.
Ist die Zahl der Medizinstudierenden zu groß, kann nicht jeder von ihnen einen Leichnam zur Untersuchung erhalten. „Leichname können für die grundlegende Lehre eingesetzt werden, aber das Üben von Eingriffen, das mehr ins Detail geht, kann an 3D-gedruckten physischen Modellen erfolgen. Der Detailgrad der 3D-gedruckten Modelle kann natürlich an das Niveau der Studierenden angepasst werden. Zum Beispiel kann es jüngeren Studierenden helfen, verschiedene Bereiche des Modells farblich zu markieren“, erklärt Hanalioglu.
Demnach sollten für eine möglichst wirksame medizinische Ausbildung sowohl 3D-gedruckte Modelle als auch Leichname eingesetzt werden.

3D-gedruckter Schädel, in dem Gehirn und Arterien sichtbar sind, zur Übung von Kraniotomien.
Das Gute an 3D-gedruckten Modellen ist, dass das Gehirn transparent dargestellt werden kann, sodass das Aneurysma und die Gefäße unter dem Temporal- und Frontallappen leicht sichtbar sind. Die Bedeutung physischer 3D-gedruckter Modelle im Vergleich zu digitalen 3D-Modellen wird offensichtlich, wenn das OP-Team nicht über die erforderliche Erfahrung für einen Eingriff verfügt. Hier kann ein 3D-gedrucktes Modell helfen, die Position eines Aneurysmas und die Kraniotomie zu standardisieren.
Zwar lassen auch digitale 3D-Modelle es zu, virtuelle Segmentierungen und Anpassungen wie etwa Positionsänderungen durchzuführen, aber das haptische Feedback fehlt. Mit 3D-gedruckten Modellen erhalten Chirurg*innen verschiedene Blickwinkel auf das Gehirn. Wurde das Modell jedoch einmal beschädigt oder zerschnitten, lässt sich das nicht mehr rückgängig machen.
Materialien, die für den 3D-Druck von Modellen genutzt werden: In diesem 3D-gedruckten Modell wurde die Anatomie der Hirngefäße, des Gewebes und des Schädels durch Scans gewonnen. Die Knochenmodelle wurden aus Durable Resin gedruckt, während für das Gewebe und die Gefäße Elastic 50A Resin verwendet wurde. Die Modelle wurden auf dem Form 3 gedruckt, der inzwischen durch den neueren Form 3B+ ersetzt wurde.

Hanalioglu wählte Elastic 50A Resin wegen seiner elastomerischen Eigenschaften, denn seine Fähigkeit, Arteriengewebe nachzuahmen, ist für ein genaues Verfahren von Vorteil. Wie er berichtet, gab es in den letzten Jahren „Verbesserungen bei den Materialien. Sie fühlen sich viel mehr wie Arterien an. Es gibt immer noch Raum für weitere Verbesserungen, aber die Haptik ist besser.“
Abschließend lässt Hanalioglu sein gedrucktes Arterienmodell lackieren, um die Identifizierung der einzelnen Teile zu erleichtern. Die Möglichkeit, weiche Materialien wie Elastic 50A Resin zu lackieren, ist ein weiterer Vorteil des Materials.